矯正装置

セルフライゲーションブラケット

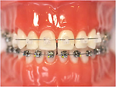
当院では、上顎前歯部は審美的なDAMON3(DAMON CLEAR)、臼歯部は耐久性のある DAMON3 MX を、下顎は小さくて耐久性のあるDAMON Qを使用しています。

  • 上顎の
    前歯部は DAMON 3
    臼歯部は DAMON 3 MX
  • 下顎は
    DAMON Q

  • 上顎の
    前歯部は DAMON CLEAR
    臼歯部は DAMON 3 MX
  • 下顎は
    DAMON Q

セルフメディケーションブラケットは、ブラケットとワイヤーの摩擦を今までの矯正装置の数百分の一に軽減する事により、弱い力で歯を効率的に移動させます。、

セルフライゲーション、ローフリクションとしてブラッケットが各社より販売されていますが、Ormco社のDAMON は、パッシブセルフライゲーションのブラケットです。

歯を動かす時に、早く動くかどうかは歯とワイヤーの摩擦の強さに左右されます。
従来のブラケットは、ワイヤーをブラケットにリガチャーで止めるのですが、それが歯の動きの抵抗となりました。

リガチャーを使用しないことにより摩擦を減らし、歯の移動を早く行います。このシステムを有効に作用させる為には、歯に装着するブラケットと歯を動かすワイヤーとの組み合わせが重要になります。

セルフライゲーションブラケットとハイテクアーチワイヤーとのシステムとして使用できて、ブラケットの特性を生かせます。また、ブラケットにワイヤーを止めるのに、リガチャーを使用しないので、ブラケット周辺が清潔で虫歯になりにくい装置です。

効率的に歯が移動するとても良い装置で、お勧めです。

歯を止めるゴムが不要なので、衛生的で虫歯になりにくい。

通常の装置は、ワイヤーを止めるのにゴムまたはリガチャー(針金)を使用します。

セルフライゲーションブラケットは、ゴムやリガチャーが不要なので、衛生的な装置です。

重要なワイヤーも用意しています。

歯を効率的に移動するには歯に接着するブラケットが重要ですが、歯を動かすワイヤーも同様に重要です。

歯科矯正用アンカースリュー

近年の矯正治療において、チタン製のミニスクリューを植立する画期的な治療法があります。この治療 法は、これまで治療が困難であった不正咬合を効率良く改善できる為、すばらしい治療結果を得る事が出来、headgear・エラスティック等の患者様の負担を軽減します。歯を抜歯して治療を行う場合、抜歯部位に前歯を移動しますが、奥歯が移動すると治らない場合にスクリューを植立します。

オレンジ色のゴムが奥歯から前歯に架けられていて、前歯を抜歯部位に移動していますが反作用で奥歯が抜歯部位に移動してしまい治りません。

オレンジ色のゴムがスクリューから前歯に架けられていて、前歯を抜歯部位に移動していますが反作用が無く奥歯が抜歯部位に移動しません。

歯科矯正用アンカースクリューの植立部位

出っ歯の場合は

上顎の第一大臼歯と第二小臼歯間の頬側または舌側

受け口の場合は

下顎の第一大臼歯と第二大臼歯間の頬側

当院で使用している歯科矯正用アンカースクリューの種類

※植立部位・年齢・骨の状態によって選択しています。

JEIL社 デュアル・トップオートスクリュー
1.6mm × 6mm
1.6mm × 8mm
1.6mm × 10mm

SHOFU社 アブソアンカー
1.4mm × 7mm
1.7mm × 7mm

抜歯か非抜歯か

近年「歯を抜かない矯正治療」がもてはやされている様に思われます。
また患者様が「歯を抜かない」という言葉に惑わされているように思えます。

「歯を抜かない矯正治療」が本当に良い治療なのでしょうか。もし矯正歯科医が「歯を抜く治療」と「抜かない治療」を「治療結果」と「治療後」を考慮せずに選択できるとしたら、歯を抜かずに並べるだけの治療を選択します。

なぜなら、簡単で短期間に終了できて患者様に受け入れて頂きやすい治療法だからです。にもかかわらず「歯を抜く治療」が行われているのはどういう事なのでしょうか。抜かなくてよい歯を抜いてしまっているのでしょうか。「治療結果」と「治療後」を考慮した場合、歯を抜かなければ治療前より悪い状態になるからです。

現在の矯正治療では、「歯を抜かなくても治る」「歯を抜かなければ、治療前より悪い状態になる」「抜歯か非抜歯かのボーダーラインケース」の三つが考えられます。

矯正治療は、半病や未病の患者様を治療するのにもかかわらず、無理な非抜歯治療によって「リテーナーが外せない」「かみ合わせの安定を欠く」「顔貌が悪くなる」「唇が閉じれない」事になれば、病気に転落させる事になります。

矯正治療で大切な事は「歯を抜かない治療」を目標に治療しない事と、患者様が「歯を抜かない事にこだわりすぎない」事です。ただ、誤解して頂きたくないのですが「歯を抜かない治療」が悪い治療だと言いたいのではなく、矯正治療では抜歯した方が良い結果が出ることがあると言う事と、多くの患者様の治療で抜歯が必要である事です。

当院で治療計画を立てる時に、まず歯を抜かない治療法を考えますが、治療結果と治療後に問題がある場合に抜歯の決定をします。当院でも「歯を抜かない治療」を行っておりますが、多くの患者様で治療結果と治療後を考慮して「歯を抜く治療」が必要になります。

では、歯を抜いて治療するか、抜かずに治療するかをどのようにして決めれば良いのでしょうか。矯正治療の目標を達成する為に、抜歯が必要かどうかです。矯正治療の目標は「顔貌の均衡と調和」「かみ合わせと歯並びの安定」「健康な口腔周囲組織」「能率的な咀嚼機能の確立」です。

目標を達成するための方法を決定するためには、必要な検査を行う事です。必要不可欠な検査は「顔面写真」「セファロ(頭部X線規格写真)」「歯の模型」「パノラマ断層撮影(レントゲン)」です。特に「歯を抜くか抜かないか」の決定をするのに大切なのが「セファロ(頭部X線規格写真)」です。検査の結果が出て数値化しますが、同じような検査結果でも、年齢、性別、主訴、癖等によって「抜歯」と「非抜歯」が異なります。

最後に、患者様の訴えている内容をよく聞き、患者様の抱えている問題を整理し、検査の分析結果を元に、矯正歯科医の技術と経験で「抜歯」と「非抜歯」を決定します。診断では30分ほどの時間で治療内容を説明させて頂いておりますが、それまでにかなりの時間をかけています。治療目標には許容範囲がありますので患者様の希望を治療方針に反映する事ができますが、矯正歯科医が時間をかけて導き出した治療方針に耳を傾けて頂ければと思います。

最後に矯正の偉人ケースの言葉を
「抜くべき歯を抜かないのは、抜いてはならない歯を抜くのと同じである」

セファロ(頭部X線規格写真)
このレントゲンなしに的確な診断はできません。

小島矯正歯科 TEL:075-612-8604 〒612-8086 京都市伏見区京町北7丁目22-1 1F 電話受付:10:00~18:00
アクセスマップ
無料メール相談はこちら
歯科衛生士募集!!